التواصل السريع

info@averia-health.com

00905369545375

تصوير الشرايين التاجية (القسطرة التشخيصية) في تركيا

المقدمة

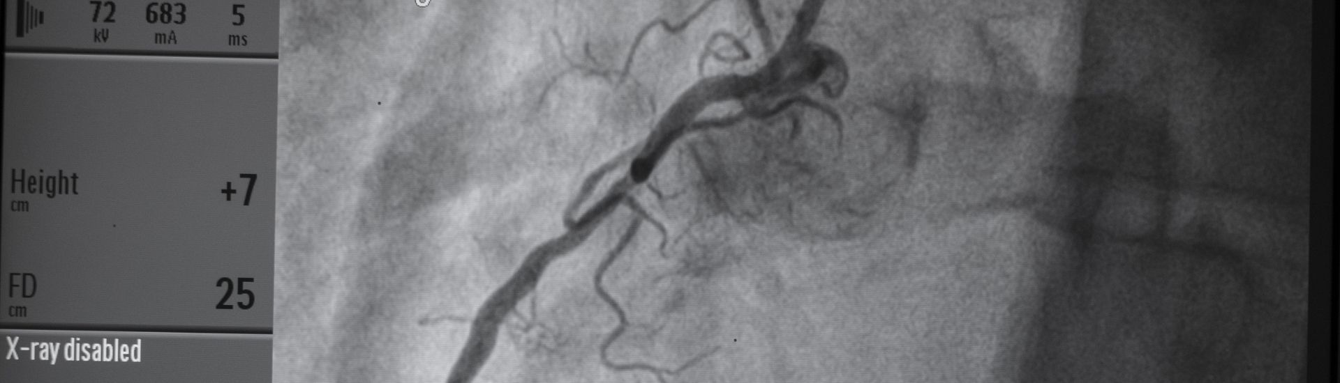
يُعد تصوير الشرايين التاجية — المعروف أيضًا باسم القسطرة التشخيصية للقلب — إجراءً طفيف التوغل يستخدم لتصوير الشرايين التاجية وتحديد وجود انسداد أو تضيق أو أي خلل يؤثر على تدفق الدم إلى عضلة القلب.

يُعتبر هذا الفحص المعيار الذهبي لتقييم آلام الصدر، وضيق التنفس، ونتائج اختبار الجهد غير الطبيعية، أو الاشتباه بمرض الشرايين التاجية.

تُعد تركيا وجهة عالمية موثوقة لإجراء تصوير الشرايين التاجية بفضل أطباء القلب التدخليين ذوي الخبرة، ومختبرات القسطرة المتطورة، وسرعة الوصول إلى خدمات التشخيص القلبي عالية الجودة.

تضمن أفيريا هيلث تجربة آمنة ومنظمة وفعالة، بدءًا من التقييم الطبي وحتى الرعاية بعد الإجراء.

 

لماذا يختار المرضى تركيا لإجراء تصوير الشرايين التاجية

تحظى تركيا بسمعة دولية متميزة في مجال أمراض القلب للأسباب التالية:

  • أطباء قلب تدخليون ذوو خبرة يجرون آلاف الإجراءات سنويًا
  • مختبرات قسطرة حديثة مزودة بأنظمة تصوير رقمية فورية
  • مواعيد سريعة غالبًا خلال 24–48 ساعة
  • دقة عالية في تشخيص أمراض الشرايين التاجية
  • إمكانية إجراء العلاج فورًا عند الحاجة (توسيع الشريان أو تركيب دعامة)
  • تكلفة علاج أقل مقارنة بأوروبا والمملكة المتحدة والولايات المتحدة
  • مستشفيات معتمدة دوليًا توفر رعاية قلبية على مدار الساعة

توفر تركيا تشخيصًا قلبيًا متقدمًا وآمنًا وموثوقًا.

 

لماذا تختار أفيريا هيلث

تدعم أفيريا هيلث كل خطوة في تقييم صحة القلب:

  • مراجعة التقارير الطبية قبل السفر (الأعراض، تخطيط القلب، الفحوصات السابقة)
  • تحويلك إلى أفضل أطباء القلب التدخليين في تركيا
  • تنسيق كامل لدخول المستشفى وتحديد موعد الإجراء
  • نقل خاص لجميع الزيارات الطبية
  • خدمات الترجمة طوال فترة الإقامة
  • تواصل سريع وشرح واضح لجميع الإجراءات
  • دعم المرضى على مدار الساعة
  • متابعة بعد الإجراء ووضع خطة العلاج المناسبة

نضمن أن تكون رحلتك التشخيصية آمنة ومنظمة وخالية من التوتر.

 

ما الذي يشخصه تصوير الشرايين التاجية

يمكن لهذا الفحص تحديد:

  • انسداد الشرايين التاجية
  • تضيق الشرايين (Stenosis)
  • ضعف تدفق الدم إلى القلب
  • التشوهات الخلقية في الشرايين التاجية
  • أسباب الذبحة الصدرية وآلام الصدر
  • نتائج اختبار الجهد غير الطبيعية
  • شدة مرض الشرايين التاجية
  • تقييم القلب قبل بعض العمليات الجراحية

يُعد هذا الفحص الأكثر دقة لتقييم الشرايين التاجية.

 

كيف يتم تصوير الشرايين التاجية

  • نقطة الدخول

يقوم طبيب القلب بإدخال قسطرة رفيعة عبر:

  • الرسغ (الشريان الكعبري) — الأكثر استخدامًا وراحة
  • الفخذ (الشريان الفخذي) عند الحاجة
  • حقن مادة التباين

يتم حقن صبغة خاصة تسمح برؤية الشرايين بوضوح.

  • التصوير الفوري

تُستخدم الأشعة السينية الرقمية لرؤية تدفق الدم واكتشاف الانسدادات.

  • التشخيص

يقوم طبيب القلب بتقييم:

  • حجم الشرايين
  • درجة التضيق
  • طبيعة الترسبات
  • الحاجة إلى تركيب دعامة أو تعديل العلاج الدوائي

العلاج الفوري (عند الحاجة)

إذا تم اكتشاف تضيق شديد، يمكن إجراء توسيع الشريان أو تركيب دعامة خلال نفس الإجراء إذا كان ذلك مناسبًا طبيًا.

 

رحلة العلاج في تركيا

  1. الاستشارة قبل السفر

تشارك تاريخك الطبي ونتائج تخطيط القلب واختبار الجهد والأعراض.

  1. تقييم طبيب القلب

يقوم الطبيب المختص بتحديد ما إذا كانت القسطرة التشخيصية ضرورية.

  1. تخطيط السفر والمواعيد

تقوم أفيريا هيلث بترتيب دخول المستشفى وتحديد موعد الإجراء.

  1. الوصول إلى تركيا

استقبال في المطار ونقل إلى الفندق أو المستشفى.

  1. الفحوصات قبل الإجراء

تحاليل دم، تخطيط قلب، فحص سريري، وتقييم التخدير.

  1. إجراء القسطرة التشخيصية

يتم عادة تحت التخدير الموضعي مع مهدئ خفيف.

  1. فترة التعافي القصيرة

يتم مراقبة المريض لعدة ساعات، وقد يبقى بعض المرضى ليلة واحدة في المستشفى.

  1. النتائج وخطة العلاج

يشرح طبيب القلب النتائج ويحدد الخطوات العلاجية التالية.

  1. المتابعة

تقدم أفيريا هيلث دعمًا ومتابعة طبية بعد العودة إلى بلدك.

 

النتائج المتوقعة والفوائد

  • تشخيص سريع ودقيق
  • تحديد واضح لمكان وشدة الانسداد في الشرايين
  • إمكانية العلاج الفوري عند الحاجة
  • فترة تعافٍ قصيرة جدًا
  • مستوى أمان مرتفع مع مضاعفات نادرة
  • تحسين التخطيط العلاجي طويل المدى
  • خطوة أساسية في تقييم المرضى الذين يعانون من آلام الصدر أو أمراض الشرايين التاجية

تساعد نتائج الفحص في اتخاذ قرارات علاجية قد تنقذ الحياة.

 

المخاطر والاعتبارات

يُعد تصوير الشرايين التاجية إجراءً آمنًا للغاية، لكن قد تشمل المخاطر:

  • نزيف أو كدمة بسيطة في موقع القسطرة
  • شعور مؤقت بعدم الارتياح
  • حساسية نادرة لمادة التباين
  • إصابة نادرة جدًا في الشريان
  • احتمال ضئيل لاضطراب نظم القلب

تلتزم مراكز القلب في تركيا بأعلى معايير السلامة الدولية.

 

ما الذي يتضمنه برنامج رحلتك العلاجية

  • الاستقبال والتوصيل من وإلى المطار
  • المساعدة في حجز الفندق أو الإقامة في المستشفى
  • نقل خاص لجميع المواعيد الطبية
  • خدمات الترجمة
  • الفحوصات قبل الإجراء
  • تنسيق إجراء القسطرة التشخيصية
  • المراقبة الطبية داخل المستشفى
  • فحوصات متابعة بعد الإجراء
  • دعم المرضى على مدار الساعة
  • متابعة طبية وخطة علاج بعد العودة

تضمن أفيريا هيلث تجربة تقييم قلبي آمنة وسلسة ومدعومة بالكامل.

 

الأسئلة الشائعة

هل تصوير الشرايين التاجية مؤلم؟
لا، قد تشعر بضغط خفيف فقط في موقع الإدخال، ويتم استخدام مهدئات لراحتك.

كم يستغرق الإجراء؟
عادة 20 إلى 45 دقيقة.

كم مدة الإقامة في تركيا؟
غالبًا 3 إلى 5 أيام تشمل المتابعة.

هل يمكن العودة إلى الأنشطة الطبيعية بسرعة؟
نعم، يعود معظم المرضى إلى حياتهم اليومية خلال 24 إلى 48 ساعة.

هل سأحتاج إلى دعامة؟
فقط إذا تم اكتشاف انسداد شديد يتطلب العلاج.

هل القسطرة عبر الرسغ أكثر أمانًا؟
نعم، فهي توفر تعافيًا أسرع ومضاعفات أقل.

 

هل أنت مستعد لبدء رحلة العناية بقلبك؟

احصل على تشخيص قلبي دقيق وسريع مع تصوير الشرايين التاجية في تركيا.
اطلب عرض سعر مجاني أو تواصل معنا عبر واتساب لحجز موعدك.

المعلومات